インビザライン症例
Invisalign Cases
36歳 女性
症例01
- 主訴
- 前歯が気になる
- 初診時年齢
- 36歳8ヶ月
- 動的治療期間
- 10ヶ月
- 治療に用いた主な装置
- マウスピース型矯正装置(インビザライン)
- 抜歯 / 非抜歯
- 非抜歯治療
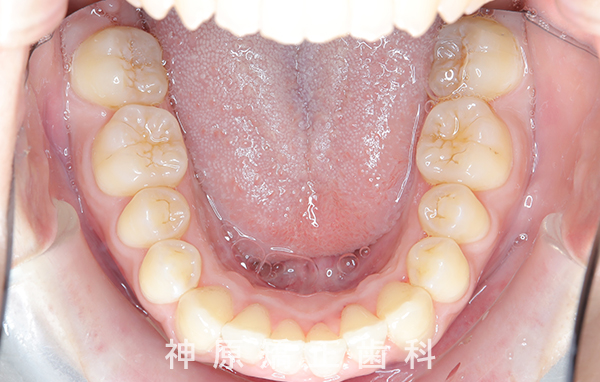
初診時
治療開始5カ月後
治療終了
マウスピース型矯正治療について
矯正精密検査の結果、歯を抜かずに歯並びを整えることが可能であり、歯の移動量も比較的少ないことから、マウスピース型矯正装置での治療が適していると判断し、治療を行いました。
また、1日20時間以上の装着をしっかり守っていただいたことで、約10カ月で動的矯正治療を終了することができました。
費用について
(価格はすべて税込表示になります。)
検査診断料
44,000円
矯正基本料金
990,000円
(保定装置も含めた費用になります)
処置費
5,500円×7回
※費用に関しましては、治療を開始された時点での料金となります。その後、価格が変更されている場合がございますので、ご了承ください。














