叢生症例(ガタガタ)
Crowding Case
16歳 男性
症例01
- 主訴
- 前歯の並びが気になる
- 初診時年齢
- 16歳10ヶ月
- 動的治療期間
- 2年10ヶ月
- 治療に用いた主な装置
-
上顎:唇側矯正装置
下顎:唇側矯正装置 - 抜歯 / 非抜歯
- 上下顎左右第一小臼歯の抜歯
上下左右親知らず抜歯
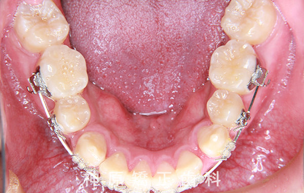
初診時
マルチブラケット装着1年後
治療終了
治療前と治療後
抜歯を伴う矯正治療について
矯正精密検査の結果、歯が全体的に大きく、すべての歯を正しく並べることが難しい状況でした。そのため、並べる歯の数を減らし、適切なスペースを確保するために小臼歯の抜歯が必要と判断しました。患者様やご家族にも十分に説明をおこない、矯正治療のゴールについてご理解・ご同意をいただいた上で、治療を開始しました。
費用について
(価格はすべて税込表示になります。)
検査診断料
55,000円
矯正基本料金
770,000円
(保定装置も含めた費用になります)
処置費
5,500円×32回
※費用に関しましては、治療を開始された時点での料金となります。その後、価格が変更されている場合がございますので、ご了承ください。














