叢生症例(ガタガタ)
Crowding Case
24歳 女性
症例02
- 主訴
- ガタガタが気になる
- 初診時年齢
- 24歳6ヶ月
- 動的治療期間
- 3年2ヶ月
- 治療に用いた主な装置
-
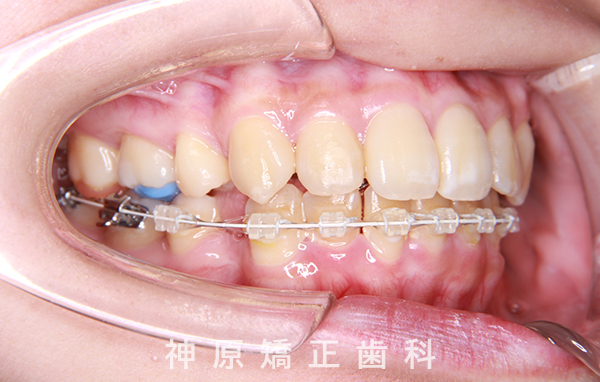
上顎:リンガル(舌側)矯正装置
下顎:唇側矯正装置
歯科矯正用アンカースクリュー - 抜歯 / 非抜歯
- 上下顎左右第一小臼歯の抜歯
上下左右親知らず抜歯
初診時
マルチブラケット装着1年後
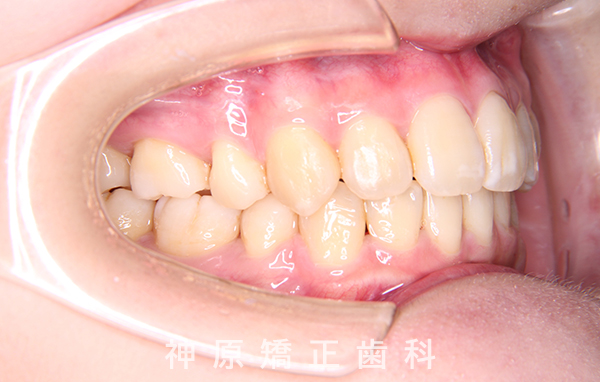
治療終了
治療前と治療後
抜歯を伴う矯正治療について
矯正精密検査の結果、歯が全体的に大きく、顎が小さいため、すべての歯を正しく並べることが難しい状態でした。そのため、歯をきれいに並べるためのスペースを確保する必要があり、小臼歯の抜歯を行うことが適切と判断しました。患者様にはこの方針について丁寧に説明し、矯正治療のゴールをご理解・ご同意いただいた上で、治療を開始しました。
費用について
(価格はすべて税込表示になります。)
検査診断料
44,000円
矯正基本料金
770,000円
(保定装置も含めた費用になります)
歯科矯正用アンカースクリュー
22,000円×2
処置費
5,500円×37回
上顎舌側装置加算
220,000円
下顎ホワイトワイヤ
55,000円
本症例では上顎は【舌側矯正¥220,000】下顎は【ホワイトワイヤー¥55,000】希望されました。 通常の透明な矯正装置を希望の場合は上記の加算費用はかかりません。 ※費用に関しましては、治療を開始された時点での料金となります。その後、価格が変更されている場合がございますので、ご了承ください。














