下顎前突症例(受け口)
Mandibular Prognathism Cases
19歳 男性
症例02
- 主訴
- 下の歯が前に出ている
- 初診時年齢
- 19歳8ヶ月、男性
- 動的治療期間
- 2年4ヶ月
- 治療に用いた主な装置
-
上顎:唇側矯正装置
下顎:唇側矯正装置 - 抜歯 / 非抜歯
- 上顎左右第二小臼歯、下顎左右第一小臼歯の抜歯
下顎左右親知らず抜歯
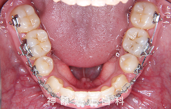
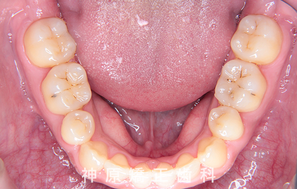
初診時
マルチブラケット装着1年後
治療終了
治療前と治療後
抜歯を伴う矯正治療について
精密検査の結果、大きな骨格的なずれはありませんでした。しかし、あごと歯の大きさのバランスが悪く、すべての歯を並べると横顔の見た目が悪化する可能性がありました。また、適切な歯軸の獲得も難しい状況でした。そのため、小臼歯を抜歯して適切なスペースを確保し、歯並びを整えることにしました。これにより、ガタガタした歯並びや前歯の噛み合わせの問題が改善されました。
費用について
(価格はすべて税込表示になります。)
検査診断料
44,000円
矯正基本料金
770,000円
(保定装置も含めた費用になります)
歯科矯正用アンカースクリュー
5,500円×28回
※費用に関しましては、治療を開始された時点での料金となります。その後、価格が変更されている場合がございますので、ご了承ください。














