上顎前突症例(出っ歯)
Maxillary Protrusion Case
18歳 女性
症例01
- 主訴
- 上の歯が出ている
- 初診時年齢
- 18歳4ヶ月
- 動的治療期間
- 2年2ヶ月
- 治療に用いた主な装置
-
上顎:リンガル(舌側)矯正装置
下顎:唇側矯正装置
歯科矯正用アンカースクリュー - 抜歯 / 非抜歯
- 上下顎左右第一小臼歯の抜歯
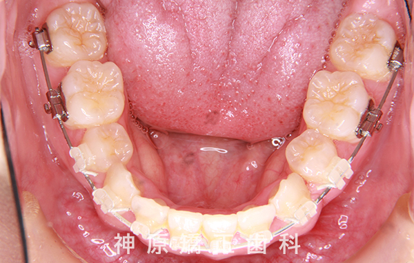
初診時
治療経過1年後
治療終了
治療前と治療後
抜歯を伴う矯正治療について
今回の矯正治療を行う上で、矯正精密検査の結果口元の突出感の改善と下の歯のガタガタを改善するために小臼歯を抜歯する必要があると判断いたしました。
患者様、ご家族にも十分に説明をおこない、矯正治療のゴール設定に同意を得て矯正治療を開始いたしました。
費用について
(価格はすべて税込表示になります。)
検査診断料
55,000円
矯正基本料金
770,000円
(保定装置も含めた費用になります)
歯科矯正用アンカースクリュー
22,000円×2
処置費
5,500円×27回
上顎舌側装置加算
220,000円
下顎ホワイトワイヤ
55,000円
本症例では上顎は【舌側矯正¥220,000】下顎は【ホワイトワイヤー¥55,000】を希望されました。
通常の透明な矯正装置を希望の場合は上記の加算費用はかかりません。
※費用に関しましては、治療を開始された時点での料金となります。その後、価格が変更されている場合がございますので、ご了承ください














