上顎前突症例(出っ歯)
Maxillary Protrusion Case
14歳 男性
症例02
- 主訴
- 出っ歯が気になる
- 初診時年齢
- 14歳6ヶ月
- 動的治療期間
- 2年8ヶ月
- 治療に用いた主な装置
-
バイオネーター、ヘッドギア
上顎:唇側矯正装置
下顎:唇側矯正装置 - 抜歯 / 非抜歯
- 非抜歯治療
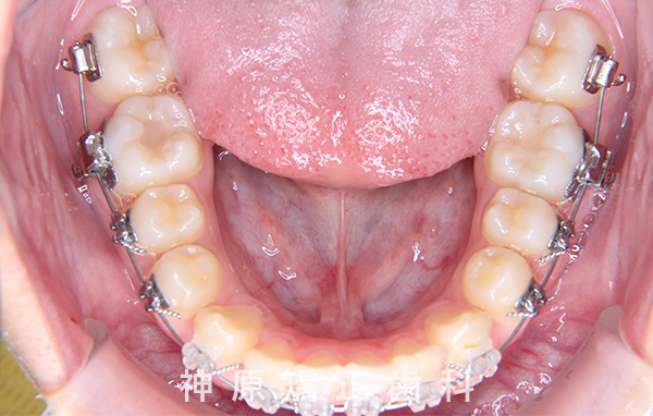
初診時
マルチブラケット装着1年後
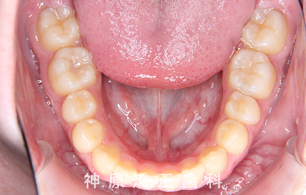
治療終了
治療前と治療後
非抜歯の矯正治療について
矯正精密検査の結果、下あごが後方へ位置していました。まず、8カ月間バイオネーターを使い、下あごを前へ出す治療をおこないました。再評価をおこない、抜歯せずに歯を並べることが可能と判断し、2.0年間マルチブラケットによる治療をおこないました。
下あごが前に出たことで、横顔のバランスも良くなりました。
費用について
(価格はすべて税込表示になります。)
検査診断料
55,000円
矯正基本料金
770,000円
(保定装置も含めた費用になります)
処置費
5,500円×31回














