上下顎前突症例(口ゴボ)
Upper And Lower jaw Protrusion Cases
31歳 女性
症例02
- 主訴
- 前歯が気になる
- 初診時年齢
- 31歳0ヶ月
- 動的治療期間
- 1年9ヶ月
- 治療に用いた主な装置
-
上顎:唇側矯正装置
下顎:唇側矯正装置
歯科矯正用アンカースクリュー - 抜歯 / 非抜歯
- 上下左右第一小臼歯抜歯、上下顎左右親知らず抜歯
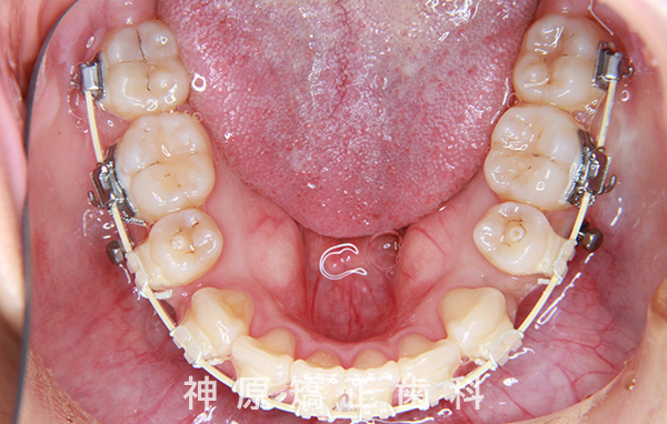
初診時
マルチブラケット装着1年後
治療終了
治療前と治療後
非抜歯の矯正治療について
口元の突出感と下の歯並びの乱れを改善するため、小臼歯を抜歯することにしました。抜いたスペースを利用して、前歯をできるだけ後ろに移動させるため、上下に歯科矯正用アンカースクリューを使用する計画を立てました。治療の目標について同意を得た後、矯正治療を開始しました。歯の動きが順調で、1年9カ月で治療が完了しました。その結果、側貌はE-lineに調和したバランスの良い仕上がりになりました。
費用について
(価格はすべて税込表示になります。)
検査診断料
44,000円
矯正基本料金
770,000円
(保定装置も含めた費用になります)
処置費
4,400円×21回
歯科矯正用アンカースクリュー
22,000円×4
上下顎ホワイトワイヤー
55,000円×2
本症例では上下顎に【ホワイトワイヤー¥55,000×2】希望されました。
通常の透明な矯正装置を希望の場合は上記の加算費用はかかりません。
※費用に関しましては、治療を開始された時点での料金となります。その後、価格が変更されている場合がございますので、ご了承ください。














